

AFFILIAZIONE
s.c. ingegneria clinica – asst fatebenefratelli sacco
AUTORE PRINCIPALE
Ing. D’Amato Maria Federica
VALUTA IL CHALLENGE
Registrazione obbligatoria. Una valutazione consentita
login avvenuto
[ratingwidget]
GRUPPO DI LAVORO
Ing. D’Amato Maria Federica s.c. ingegneria clinica – asst fatebenefratelli sacco
Ing. Cravero Silvio s.c. ingegneria clinica – asst fatebenefratelli sacco
Dr. Orsi Marcello Alessandro s.c. radiologia fatebenefratelli – dipartimento radiologico
Dr. Oliva Antonio Giancarlo s.c. radiologia fatebenefratelli – dipartimento radiologico
Ing. Cravero Silvio s.c. ingegneria clinica – asst fatebenefratelli sacco
Dr. Orsi Marcello Alessandro s.c. radiologia fatebenefratelli – dipartimento radiologico
Dr. Oliva Antonio Giancarlo s.c. radiologia fatebenefratelli – dipartimento radiologico
AREA TEMATICA
Esperienze e metodologie di valutazione delle tecnologie
ABSTRACT
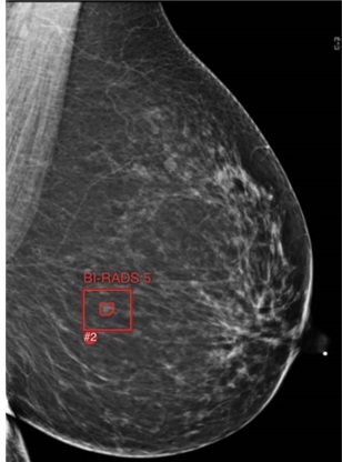
Il tumore al seno rappresenta il 25% di tutti i nuovi casi di tumore e costituisce la principale causa di morte per cancro (15,5%) nella popolazione femminile. Lo screening mammografico riduce la mortalità per tumore al seno del 20-31% tuttavia presenta dei limiti che ne riducono l’efficacia, infatti la sensibilità della metodica scende fino al 48% nei seni densi e nei programmi di screening è stimato circa il 10-20% di falsi positivi. L’utilizzo dell’intelligenza artificiale (IA), guidata principalmente dal deep learning e dalle reti neurali convoluzionali, applicata allo screening mammografico sta rivoluzionando il campo della radiologia senologica. L’IA come strumento di controllo qualità standardizzato migliora l’accuratezza della diagnosi delle patologie mammarie ed è stato recentemente dimostrato un impatto significativo del suo utilizzo nello screening mammografico, fino a un aumento del 29% nella rilevazione dei tumori al seno. Le macro applicazioni dell’IA nello screening mammografico sono: Analisi delle immagini che rileva e classifica in maniera automatica le lesioni; Segmentazione delle immagini per identificare le aree di interesse; Supporto decisionale ai radiologi; Miglioramento della qualità dell’immagine con una riduzione del rumore ed un aumento della risoluzione. La presenza di microcalcificazioni, composte da fosfato di calcio e ossalato di calcio e la cui deposizione avviene tramite un processo cellulare attivo o per degenerazione cellulare, porta alla diagnosi di tumore non palpabile fino al 55% dei casi. La valutazione mammografica delle microcalcificazioni presenta una bassa specificità, che varia dal 10% al 60% e il numero di biopsie non necessarie a causa di risultati falsi positivi è elevato. L’ ASST Fatebenefratelli-Sacco ha avviato una valutazione di tipo value based healthcare dei software di IA disponibili a supporto della radiologia senologica e per lo screening mammografico. Tali software sono in grado di indagare il potenziale di una rete neurale convoluzionale profonda (dCNN) per classificare accuratamente le microcalcificazioni nelle mammografie e ottenere un sistema di classificazione standardizzato e indipendente dall’osservatore, basato sul catalogo del Breast Imaging Reporting and Data System. L’obiettivo dell’utilizzo del dCNN come strumento di controllo qualità standardizzato è migliorare l’accuratezza diagnostica riducendo così i falsi positivi e consentendo una riduzione dei costi e dei tempi di attesa.