

AFFILIAZIONE
asst fatebenefratelli sacco
AUTORE PRINCIPALE
Ing. De Santis Nicolangelo
VALUTA IL CHALLENGE
Registrazione obbligatoria. Una valutazione consentita
login avvenuto
[ratingwidget]
GRUPPO DI LAVORO
Ing. De Santis Nicolangelo asst fatebenefratelli sacco
Ing. Orsi Giorgio asst fatebenefratelli sacco
Dr. Catena Emanuele asst fatebenefratelli sacco
Ing. Orsi Giorgio asst fatebenefratelli sacco
Dr. Catena Emanuele asst fatebenefratelli sacco
AREA TEMATICA
Applicazioni di intelligenza artificiale in sanità
ABSTRACT
La problematica delle lunghe liste d’attesa per le prestazioni ambulatoriali costituisce un’emergenza per il SSN. Il Ministero della Salute ha pubblicato il Piano Nazionale di Governo delle Liste d’attesa per il triennio 2025-2027, che indica i tempi di rispetto per gli accessi alle attività ambulatoriali, tra cui le ecocardiografie, in base alle classi di urgenza. Una metodica in grado di ridurre i tempi di esecuzione può contribuire a diminuire le liste.
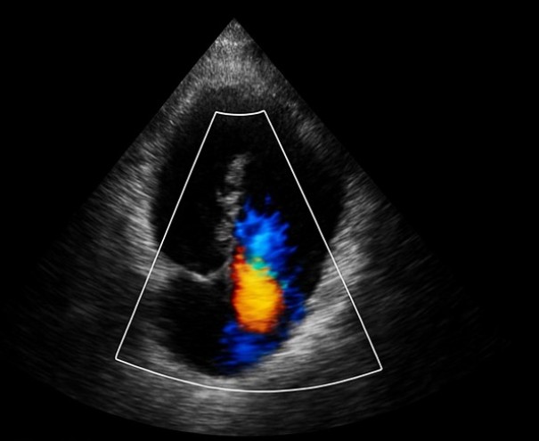
Gli ecotomografi più avanzati, che dispongono di soluzioni AI-based, offrono immagini bidimensionali di qualità eccellente, la possibilità di ricostruire tridimensionalmente la geometria cardiaca e acquisire varie misurazioni in tempi ridotti (volume ventricolare telediastolico e telesistolico, frazione di eiezione, massa del miocardio e volumi atriali massimi e minimi) e l’elaborazione automatica real time del documento di referto.
È stato condotto uno studio pilota finalizzato a valutare l’impatto di un test ecocardiografico di screening rapido (“Rapid Echocardiographic Screening Test”, REST): sono stati coinvolti, durante visita anestesiologica preoperatoria ambulatoriale, 229 pazienti candidati ad intervento elettivo di chirurgia non cardiaca, divisi in 2 gruppi: 53 con REST AI-oriented e 176 con REST normale. L’esame è stato condotto dallo stesso medico cronometrando il tempo tra il contatto e lo stacco della sonda ecografica dalla cute del paziente e valutando la qualità delle immagini ottenute. Oltre a fornire evidenza di anomalie non note in precedenza, che hanno richiesto sospensione dell’intervento previsto o ulteriori accertamenti cardiologici, il tempo medio di esecuzione è risultato inferiore a 7 minuti con REST normale mentre in caso di REST basato su AI-oriented non supera i 5 minuti.
Considerato che un’ecocardiografia tradizionale richiede in media 30 minuti, il REST garantisce un numero maggiore di prestazioni grazie ai tempi di esecuzione inferiori.
Tale metodo potrebbe trovare applicazione al di fuori del contesto anestesiologico: il MMG potrebbe prescrivere questo test per le richieste programmate di ecocardiografia, da svolgersi presso le CDC per screening diagnostico di primo livello. Questa strategia garantisce al cittadino maggiore accessibilità alle cure, alleggerisce attività dei laboratori di ecocardiografia, riduce i tempi di apprendimento per il personale sanitario ed estende l’utilizzo a medici con limitata esperienza specifica, grazie alle elaborazioni automatiche.
Gli ecotomografi più avanzati, che dispongono di soluzioni AI-based, offrono immagini bidimensionali di qualità eccellente, la possibilità di ricostruire tridimensionalmente la geometria cardiaca e acquisire varie misurazioni in tempi ridotti (volume ventricolare telediastolico e telesistolico, frazione di eiezione, massa del miocardio e volumi atriali massimi e minimi) e l’elaborazione automatica real time del documento di referto.
È stato condotto uno studio pilota finalizzato a valutare l’impatto di un test ecocardiografico di screening rapido (“Rapid Echocardiographic Screening Test”, REST): sono stati coinvolti, durante visita anestesiologica preoperatoria ambulatoriale, 229 pazienti candidati ad intervento elettivo di chirurgia non cardiaca, divisi in 2 gruppi: 53 con REST AI-oriented e 176 con REST normale. L’esame è stato condotto dallo stesso medico cronometrando il tempo tra il contatto e lo stacco della sonda ecografica dalla cute del paziente e valutando la qualità delle immagini ottenute. Oltre a fornire evidenza di anomalie non note in precedenza, che hanno richiesto sospensione dell’intervento previsto o ulteriori accertamenti cardiologici, il tempo medio di esecuzione è risultato inferiore a 7 minuti con REST normale mentre in caso di REST basato su AI-oriented non supera i 5 minuti.
Considerato che un’ecocardiografia tradizionale richiede in media 30 minuti, il REST garantisce un numero maggiore di prestazioni grazie ai tempi di esecuzione inferiori.
Tale metodo potrebbe trovare applicazione al di fuori del contesto anestesiologico: il MMG potrebbe prescrivere questo test per le richieste programmate di ecocardiografia, da svolgersi presso le CDC per screening diagnostico di primo livello. Questa strategia garantisce al cittadino maggiore accessibilità alle cure, alleggerisce attività dei laboratori di ecocardiografia, riduce i tempi di apprendimento per il personale sanitario ed estende l’utilizzo a medici con limitata esperienza specifica, grazie alle elaborazioni automatiche.