

AFFILIAZIONE
università degli studi magna graecia di catanzaro
AUTORE PRINCIPALE
Studente Serrao Giorgia
VALUTA IL CHALLENGE
login avvenuto
GRUPPO DI LAVORO
Ingegnere Zaffino Paolo università degli studi magna graecia di catanzaro
AREA TEMATICA
ABSTRACT
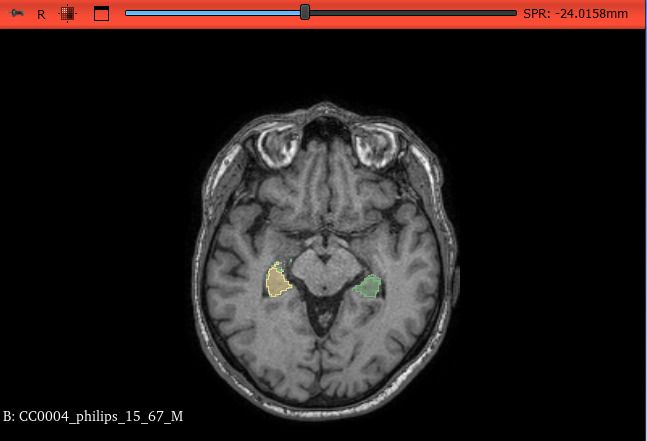
La segmentazione dell’ippocampo in risonanza magnetica (RM) è cruciale per l’analisi del sistema nervoso centrale, specie nello studio delle patologie neurodegenerative. L’uso di algoritmi di intelligenza artificiale (AI) consente di automatizzare il processo, migliorando rapidità, riproducibilità e standardizzazione, e riducendo la variabilità inter-operatore tipica delle tecniche manuali. In tale contesto, il tool Brain Parcellation di 3D Slicer rappresenta una soluzione promettente. Con questo studio si è andati a valutare le performance di un algoritmo AI in 3D Slicer, confrontandolo con segmentazioni manuali di riferimento per verificarne accuratezza e affidabilità in ambito clinico e di ricerca.
Materiali e Metodi
Sono stati analizzati 25 pazienti da un dataset open source con immagini RM encefaliche acquisite con protocolli standard e relative segmentazioni manuali dell’ippocampo. Le immagini sono state elaborate con il tool Brain Parcellation, che ha generato automaticamente le maschere dell’ippocampo, poi confrontate con segmentazioni manuali eseguite da neuroradiologi. Il tempo medio per ciascuna segmentazione automatica è stato di circa 12 minuti. La valutazione quantitativa è stata condotta con il modulo SlicerRT, tramite estrazione di Dice Similarity Coefficient (DSC), Hausdorff Distance (HD), volume della segmentazione automatica (Compare Volume) e volume manuale (Reference Volume), per analizzare sovrapposizione spaziale e coerenza volumetrica.
Risultati
Il valore medio del DSC è risultato 0.79, indicando buona corrispondenza tra segmentazioni automatiche e manuali. Le misure di HD hanno confermato elevata similarità dei contorni, compatibile con la risoluzione dell’imaging e coerente con i valori di DSC. Le due metriche, valutando aspetti complementari, si bilanciano, rafforzando l’affidabilità dei risultati. I volumi ottenuti con il tool automatico sono risultati coerenti con quelli manuali, con differenze entro limiti clinicamente accettabili.
Discussione e Conclusioni
I risultati confermano la validità del tool Brain Parcellation per la segmentazione automatica dell’ippocampo. L’automazione semplifica i flussi di lavoro, migliora l’efficienza in termini di tempo e garantisce maggiore uniformità. Studi multicentrici con casistiche più ampie saranno utili per verificarne la generalizzabilità.